Parodontite: riconoscerla e curarla in tempo

Conosciuta anche come piorrea, la parodontite è un’infiammazione cronica e batterica derivata da una forte presenza di placca e tartaro tra denti e gengive.

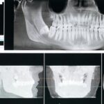
È una malattia dei denti molto diffusa e si manifesta in differenti stadi, dal più lieve al più grave. Il primo stadio di paradontite prevede un’infiammazione lieve della gengiva.
Se non si riesce a riconoscere in tempo, può sviluppare le cosiddette tasche parodontali e portare alla distruzione del legamento parodontale e dell’osso alveolare dove si trova il dente. In uno stadio più avanzato, invece, i denti perdono la loro stabilità in prossimità della gengiva, cominciano a muoversi in modo anomalo.
Questo compromette la masticazione e in alcuni casi può portare alla caduta del dente stesso.

Riconoscere la parodontite

Trattandosi di una patologia pressoché silente, soprattutto ai primi stadi, è davvero difficile prevenire e riconoscere tutti i sintomi per correre ai ripari in tempo. Per questa ragione, si consiglia di effettuare subito una visita di controllo nonappena le gengive cominciano ad infiammarsi (dando luogo alla cosiddetta gengivite). Le gengive infiammate, infatti, sono il primo grande segnale di “pericolo”. I nostri denti, in qualche modo, ci avvisano del fatto che la loro salute può risultare compromessa.

Le cause dei disturbi gengivali

La parodontite è una malattia dei denti causata principalmente da una forte carica batterica. Non solo: anche uno stile di vita scorretto, una dieta sbilanciata, il fumo, lo stress possono contribuire in modo sensibile alla comparsa di questa patologia.
I sintomi della paradontite più comuni sono: sanguinamento gengivale, alitosi, mobilità dentale, dolore o difficoltà durante la masticazione, formazione di ascessi delle gengive.

Le cure esistono ma variano di paziente in paziente. Vero è che all’insorgenza della malattia è opportuno effettuare un ciclo di pulizia dei denti approfondita. Durante la visita il dentista si preoccuperà di disinfettare l’apparato masticatorio e rimuoverà i depositi microbici presenti all’interno della bocca.

Categorie: Parodontologia